Replacing a Discolored Front Tooth with a Precision Placed Implant
Treatment(s)
Challenge
Some of the most challenging restorations occur when fabricating an anterior crown to fit on an implant. Not only does one have the difficulty of matching the single front tooth to the other ones in the high visibility zone, but the dentist must also ensure the position of the underlying implant is precise through accurate preplanning and placement.
Complexity Level
Outcome
Precisely placed dental implants with custom-crafted restorations for restored function and aesthetics
The Challenge

Some of the most challenging restorations occur when fabricating an anterior crown to fit on an implant. Not only does one have the difficulty of matching the single front tooth to the other ones in the high visibility zone, but the dentist must also ensure the position of the underlying implant is precise through accurate preplanning and placement. This is crucial for a natural-looking smile that functions properly.
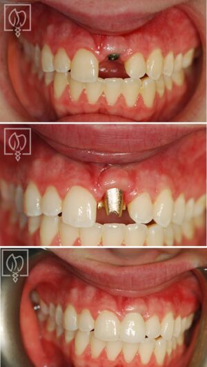
A patient came to us with a severely discolored front tooth that could not be saved. The discoloration had progressed to the point where bleaching and other conservative cosmetic treatments would not provide the desired result. The patient faced the challenge of needing a replacement tooth that would blend seamlessly with adjacent natural teeth and maintain proper function while restoring confidence in their smile.
Treatment Approach
After careful examination, we determined that tooth extraction and dental implant placement was the optimal treatment plan. The extraction was carefully performed to maintain the integrity of the surrounding bone and gum tissue, preserving as much natural anatomy as possible. This atraumatic approach ensured that we were able to begin the dental implant placement process in a natural, healthy environment.
We began by performing a virtual placement of the implant on a CT scan, which allowed us to manipulate the virtual implant into the perfect position at just the right angle and location. This detailed planning ensured that the implant would be centered within the image of the overlying crown for optimal results. Using the surgical guide developed from that initial virtual placement, the implant was positioned precisely between the nerve and the bone during surgery for optimal placement underneath the crown.
Our in-house laboratory team then crafted a custom dental crown designed to match the patient’s natural tooth color, shape, and translucency. Using internal shading and multiple porcelain layers, we created a restoration that would be indistinguishable from the adjacent natural teeth.
Results
Once the implant healed completely, the patient’s final dental crown was placed. The result was a natural-looking, beautiful anterior replacement tooth that perfectly matched the patient’s natural teeth in color, shape, and brightness. The dental implant provided a stable foundation for the crown, ensuring longevity and proper function.

Why Precision Matters in Front Tooth Replacement
Front teeth are the most visible part of the smile and are subject to close scrutiny. A prosthodontist’s attention to detail in implant placement and crown fabrication ensures that replacement front teeth look and function just like natural teeth. The combination of proper surgical planning, expert implant positioning, and custom crown design delivers results that patients are proud to show.
Related Patient Success Stories
Explore similar patient success stories demonstrating our expertise in advanced prosthetic dentistry.
Temporary Crowns Restore Patient's Smile in Just One Day with an Immediate Smile Makeover
A patient from Potomac, Maryland, came to Elite Prosthetic Dentistry with the chief complaint of pain from a failing dental implant and its significant impact on her appearance.
Multi-Faceted Treatment for Patient Unhappy With Her Artificial-Looking Crowns, Teeth and Gums
Many patients come to Elite Prosthetic Dentistry unhappy with the appearance of their smile. However, this particular patient presented with multiple interconnected problems that together created a smile she found deeply unsatisfying.
Treating Kevin’s Collapsed Bite with a Complete Smile Makeover with New Dentures
Dentures are sometimes not created to the ideal aesthetic and functional scheme. When improperly fabricated, dentures can make an individual appear almost a generation older than their actual age. They can have a poor fit that feels loose and unstable when eating or speaking, and they can actually accelerate bone loss over time.