What is a Sinus Lift Procedure, and How is it used with Dental Implants?
Deciding to have dental implants inserted by a highly trained and well-known prosthodontist is one of the most dependable ways to restore a beautiful smile permanently. However, in some cases, simply placing dental implants may not be feasible due to the deterioration of the bone at the prospective implant sites in the jaw after losing teeth.
In these instances, implants cannot be inserted until the prospective implant site is restructured using bone grafts, which make them operable once again. Various dental bone grafting procedures can achieve this, one being a sinus lift.
Below, the esteemed experts at Elite Prosthetic Dentistry explain what causes the bone to atrophy, the different types of sinus lifts, when sinus lifts are necessary, and other helpful information.






What Causes Bone to Deteriorate?
When you have missing teeth, the bone that used to surround the teeth no longer supports anything and will therefore begin to recede. This can occur rapidly, often in the first three months after the tooth comes out or may take longer, but be just as destructive. Up to 50% of the jawbone can degenerate in one year which presents potentially severe aesthetic and health problems.
Typically, the bone will begin to atrophy due to:
- Disuse
- Periodontal disease
- Tooth extraction
- An individual’s anatomy
An expert prosthodontist like Dr. Marlin can essentially rebuild the area using the indicated bone grafting procedure. Sometimes, a sinus lift is the best way to reconstruct the site for implant insertion.
What is a Sinus Lift?
A sinus lift procedure, also known as sinus augmentation, adds bone in the upper posterior jaws below the sinus membrane after it has been lifted. This is a very effective procedure when there is insufficient bone support to place implants. In short, it recreates an inoperable implant site into one that can receive them. This is one of the most common bone grafting procedures in the upper posterior jaw for dental implant patients who need additional support.
What are the Types of Sinus Lifts?
There are two types of sinus lifts:
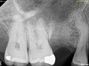
An internal sinus lift is drilled into the membrane when drilling the implant site called an osteotome (usually used to place one or two implants). The internal sinus lift (see yellow arrows) is a more conservative approach used mainly with simultaneous implant placement.
An example of an internal sinus lift can be seen below:
Stage 1: Hopelessly Fractured Tooth
Stage 2: Tooth Extracted, Bone Graft Placed
Stage 3: Implant Placed with a Sinus Lift at the Top
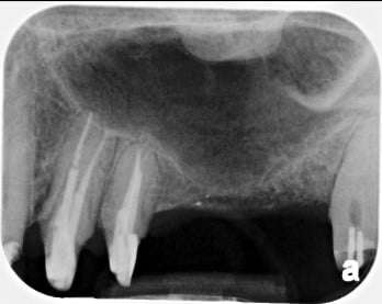
An external sinus lift, where there is very little or no bone to work with, is performed before the actual implant placement and usually covers the floor of the sinus on one side below its protective membrane.
An example of an external sinus lift can be seen below:
Stage 1: No Bone Available to Receive any Implant
Stage 2: Bone Graft Placed in an External Sinus Lift
Stage 3: Implants Placed in the Matured Bone Graft
From Where is the Bone Grafted?
Although there are several sources of bone graft material, we use bone from a bone bank along with a bone growth stimulator made up of different biological growth factors and proteins. Our techniques have proven to be quite successful and result in dense bone that adequately receives and/or protects the new implant fixture.
Is Sinus Lift Bone Grafting a Reliable Procedure?
Many studies have demonstrated long-term predictability and effectiveness for implant placement after bone grafting procedures. Due to developments in advanced dental technology, precision implant placement, and other innovations, long-term success rates are very high. At Elite Prosthetic Dentistry, we are known for our unprecedented success rates and our ability to problem-solve even the most complex cases.
Other Types of Bone Grafting
In addition to sinus lifts, Dr. Marlin also masterfully performs other bone grafting procedures. One of them is ridge augmentation, a technique that can be performed when the jaw is not wide enough to support implants. After a period of four to six months, the grafted site is ready for implant placement. In selected cases, bone grafting is performed simultaneously with implant insertion to protect it. You can learn more about ridge augmentation and bone grafting on our website.
Want to Learn More about Sinus Lifts or Bone Grafting Procedures?
As a nationally recognized prosthodontist, Dr. Gerald Marlin can help you rebuild the foundations of your “Simply Radiant, Simply Natural” smile. Dr. Marlin dedicates his time and resources to providing top-quality care in a friendly environment. To schedule your sinus lift consultation, we invite you to call 202-244-2101 or contact us online today. We serve patients from Washington DC, Bethesda, Arlington, and nearby areas of Maryland and Virginia, as well as nationwide.
See How We Resolve These Problems
Our patient success stories show real cases and real results. Browse outcomes from a specialist prosthodontist with decades of experience and 3,900+ implants placed.
Related Patient Success Stories
Explore similar patient success stories demonstrating our expertise in advanced prosthetic dentistry.
Temporary Crowns Restore Patient's Smile in Just One Day with an Immediate Smile Makeover
A patient from Potomac, Maryland, came to Elite Prosthetic Dentistry with the chief complaint of pain from a failing dental implant and its significant impact on her appearance.
Treating Kevin’s Collapsed Bite with a Complete Smile Makeover with New Dentures
Dentures are sometimes not created to the ideal aesthetic and functional scheme. When improperly fabricated, dentures can make an individual appear almost a generation older than their actual age. They can have a poor fit that feels loose and unstable when eating or speaking, and they can actually accelerate bone loss over time.
Salvaging Ms. N’s Severely Broken-Down Upper and Lower Teeth from Gum and Bone Disease
Many people in the U.S. suffer from extensive periodontal disease characterized by significant bone loss and shrinkage of the gum tissue. This condition can begin at a very young age and worsen quickly due to hereditary factors and lack of early diagnosis by their dentist.
Related Articles
Deepen your knowledge with additional insights on this topic.
Bone Grafting & Surgical Rejuvenating a Ruined Implant Site Having Severely Damaged Bone
Even after a failed implant and significant bone loss, it is often possible to rebuild the ridge and restore a healthy foundation for a new implant.
Bone Grafting & Surgical What is 'Ridge Augmentation' - Bone Grafting
Ridge augmentation rebuilds jawbone lost after tooth extraction or injury, creating a stable foundation for dental implants in Washington, DC.
Bone Grafting & Surgical What is a Partial (Internal) Sinus Lift?
Learn what a partial internal sinus lift is and how it gently raises the sinus membrane to create room for a dental implant. Washington, DC prosthodontist.