Our Patient Fell and Broke His Front Teeth. We Had Immediate Temporary Restorations Available the Next Day
Treatment(s)
Challenge
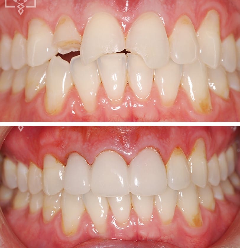
One of our patients, Michael, fell and broke his two front teeth over a weekend. The accident occurred at a time when most dental practices were closed, and he faced the prospect of waiting until the following week to be seen, let alone to have his smile restored. Michael needed his smile restored as soon as possible.
Complexity Level
Outcome
Custom-crafted porcelain crowns delivering a natural, rejuvenated smile
Responding to Dental Emergencies With Confidence

Accidents happen. A fall, a sports injury, or an unexpected collision can result in broken or fractured front teeth, creating not only a functional problem but also an immediate emotional crisis. Most patients with broken front teeth feel desperate to restore their appearance and are understandably distressed about being seen in public. When you need your smile restored immediately, having access to a dental practice with in-house laboratory capabilities can make all the difference in your outcome and peace of mind.
The Challenge
One of our patients, Michael, fell and broke his two front teeth over a weekend. The accident occurred at a time when most dental practices were closed, and he faced the prospect of waiting until the following week to be seen, let alone to have his smile restored. Michael needed his smile restored as soon as possible. Not only was the functional aspect of his smile compromised, but he was also deeply concerned about his appearance and his ability to face people during his daily life and work.
The challenge was to provide both immediate temporary restoration to address his cosmetic and functional needs while also developing a comprehensive treatment plan for permanent restoration that would exceed his expectations.
Treatment Approach
Michael came to Elite Prosthetic Dentistry seeking urgent help. Our immediate response was to take comprehensive records and radiographs to assess the extent of the damage and plan the optimal treatment approach. Because our practice operates an in-house laboratory, we had the unique advantage of being able to fabricate custom temporary dental crowns overnight, allowing Michael to have an immediate smile makeover the very next day.
Having temporary restorations in place immediately served multiple purposes: it restored Michael’s appearance and confidence, allowed him to return to normal daily activities and work without self-consciousness, and provided time for the tooth structure to stabilize and heal before final restoration.
Over the next four months, as the tooth structure and supporting tissues healed, we carefully monitored Michael’s progress. Once we confirmed that healing was complete, we scheduled the fabrication and placement of permanent custom-crafted porcelain crowns designed to match his natural tooth structure, color, and the overall harmony of his smile.
The Restoration Process
The fabrication of Michael’s final crowns involved several key considerations. Our in-house laboratory worked to ensure optimal tooth anatomy, including appropriate contours for gum health and proper emergence angles. The porcelain selection and translucency levels were carefully chosen to create a 3-dimensional appearance that would blend seamlessly with his natural adjacent teeth.
Beyond simple restoration, this was an opportunity to enhance Michael’s smile cosmetically. The final crowns were designed to complement his smile line, enhance his facial features, and create a result that he actually found more attractive than his original teeth.
Results
After four months of healing and restoration, Michael received his permanent porcelain crowns and experienced a completely rejuvenated smile. Not only was his smile restored to full function, but the aesthetic improvement far exceeded his initial expectations. The natural appearance, proper translucency, and subtle color characteristics of the custom-crafted crowns created a result that was virtually indistinguishable from natural teeth.
More importantly, Michael regained his confidence. He no longer felt self-conscious about his smile, and the ultimate smile makeover restored not just his teeth, but his peace of mind and social comfort.
This case illustrates a critical principle in prosthodontic emergency care: immediate response combined with expertise leads to the best outcomes. Whether through temporary restorations that can be fabricated overnight or comprehensive treatment planning for permanent results, Elite Prosthetic Dentistry is equipped to help patients navigate dental emergencies with confidence.
For a video discussion of Michael’s journey, watch Dr. Marlin’s detailed case presentation on our YouTube channel, where he discusses the clinical approach to broken front teeth and smile restoration.

When Accidents Happen, We Are Ready
Dental emergencies require immediate, expert response. If you have broken or fractured front teeth, contact Elite Prosthetic Dentistry immediately. With our in-house laboratory and emergency protocols, we can often provide temporary restorations within 24 hours, getting you back to your normal life while we develop a comprehensive plan for permanent restoration. For anxious patients, sedation dentistry is available to make lengthy restoration procedures comfortable. Your smile is too important to wait.
Related Services
Related Patient Success Stories
Explore similar patient success stories demonstrating our expertise in advanced prosthetic dentistry.
Temporary Crowns Restore Patient's Smile in Just One Day with an Immediate Smile Makeover
A patient from Potomac, Maryland, came to Elite Prosthetic Dentistry with the chief complaint of pain from a failing dental implant and its significant impact on her appearance.
Multi-Faceted Treatment for Patient Unhappy With Her Artificial-Looking Crowns, Teeth and Gums
Many patients come to Elite Prosthetic Dentistry unhappy with the appearance of their smile. However, this particular patient presented with multiple interconnected problems that together created a smile she found deeply unsatisfying.
Treating Kevin’s Collapsed Bite with a Complete Smile Makeover with New Dentures
Dentures are sometimes not created to the ideal aesthetic and functional scheme. When improperly fabricated, dentures can make an individual appear almost a generation older than their actual age. They can have a poor fit that feels loose and unstable when eating or speaking, and they can actually accelerate bone loss over time.