Addressing Patient’s Bone Loss with Extensive Bone Grafting for Dental Implants
Challenge
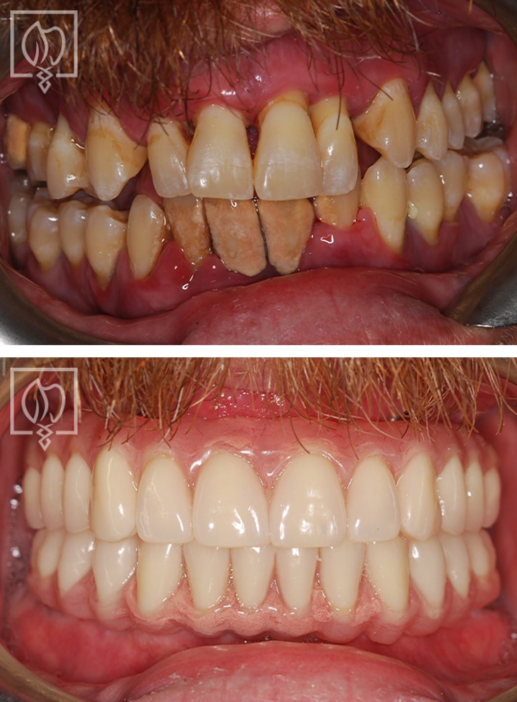
After experiencing severe teeth discoloration, gaps between his teeth, and gum recession, Craig, a patient from Washington, DC, came to Elite Prosthetic Dentistry for help. He wanted to restore his smile and address the multiple concerns that were affecting both his appearance and his confidence.
Complexity Level
Outcome
Precisely placed dental implants with custom-crafted restorations for restored function and aesthetics
The Challenge

After experiencing severe teeth discoloration, gaps between his teeth, and gum recession, Craig, a patient from Washington, DC, came to Elite Prosthetic Dentistry for help. He wanted to restore his smile and address the multiple concerns that were affecting both his appearance and his confidence.
However, a thorough evaluation revealed a significant challenge: While Craig did not experience significant decay or breakdown of his teeth, he did have extensive bone loss. Bone loss can occur from many causes, including periodontal disease, tooth loss, aging, or previous dental trauma. The extent of Craig’s bone loss was critical because it directly affected his candidacy for dental implants.

The Problem with Rushing Treatment
Any dental implants placed using a “new teeth in a day” or similar accelerated approach would have ultimately failed because the bone had not been restored to adequate volume and density. Without sufficient bone support, implants cannot achieve the stability and integration necessary for long-term success. The temptation to provide rapid results by skipping the bone grafting phase would have doomed the treatment to failure.
Our Comprehensive Approach
For a successful treatment, meaning a smile that looks natural, functions properly, and lasts a lifetime, Craig required extensive bone grafting. This was not a shortcut we could skip. Our team carefully planned and executed comprehensive bone grafts to restore the bone volume needed to support dental implants.
We then waited six months for the bone grafts to be fully integrated with Craig’s natural bone. This waiting period was essential to ensure a strong, stable foundation for implant placement. During this time, Craig wore temporary restorations so he never had to compromise his appearance while healing.
The Implant Placement and Restoration
Once the bone had sufficiently integrated, we placed six dental implants using precise surgical planning and advanced techniques. The six implants provided exceptional support for his final restorations, sometimes referred to as an “All-on-4” type therapy, which uses the strategic placement of implants to support a full arch of teeth.
Once the implants were inserted and had healed sufficiently (typically 3 to 6 months), we proceeded with Craig’s smile restoration by designing custom crowns and restorations using our in-house laboratory. Each restoration was hand-crafted to match his facial features and create a natural, beautiful result.
Why This Case Matters
This treatment case demonstrates a fundamental principle of excellent prosthodontic dentistry: not allowing the speed of treatment to be prioritized over appropriately preparing the surgical site for the utmost success. Dr. Marlin could have suggested faster treatment options that would have looked good initially but failed within a few years. Instead, he recommended the comprehensive approach that would provide lasting success.
The Benefits of Proper Planning
Patients who receive adequate bone grafting and who allow proper healing time experience:
- Superior implant stability and long-term success
- More natural-looking and functional results
- Better preservation of bone over time
- Lasting results that continue to function well for decades
watch: Dr. Marlin Discusses a Dental Implant Patient Case Involving Bone Preservation
Craig’s successful treatment demonstrates that patience and proper planning result in beautiful, functional smiles that last for decades with proper care. If you have bone loss and are concerned about implant candidacy, contact Elite Prosthetic Dentistry to discuss your comprehensive treatment options.
Related Services
Related Patient Success Stories
Explore similar patient success stories demonstrating our expertise in advanced prosthetic dentistry.
Temporary Crowns Restore Patient's Smile in Just One Day with an Immediate Smile Makeover
A patient from Potomac, Maryland, came to Elite Prosthetic Dentistry with the chief complaint of pain from a failing dental implant and its significant impact on her appearance.
Multi-Faceted Treatment for Patient Unhappy With Her Artificial-Looking Crowns, Teeth and Gums
Many patients come to Elite Prosthetic Dentistry unhappy with the appearance of their smile. However, this particular patient presented with multiple interconnected problems that together created a smile she found deeply unsatisfying.
Treating Kevin’s Collapsed Bite with a Complete Smile Makeover with New Dentures
Dentures are sometimes not created to the ideal aesthetic and functional scheme. When improperly fabricated, dentures can make an individual appear almost a generation older than their actual age. They can have a poor fit that feels loose and unstable when eating or speaking, and they can actually accelerate bone loss over time.
