Rejuvenating Maria’s Severely Worn Down Implant Overdentures
Challenge
Many times, per year, patients come to us frustrated because their implant prosthesis is so severely worn down that they are very self-conscious and cover up their smile. They look and feel much older than their age as a result of the extensive wear of their appliance(s).
Complexity Level
Outcome
Precisely placed dental implants with custom-crafted restorations for restored function and aesthetics
The Challenge

Many times, per year, patients come to us frustrated because their implant prosthesis is so severely worn down that they are very self-conscious and cover up their smile. They look and feel much older than their age as a result of the extensive wear of their appliance(s).
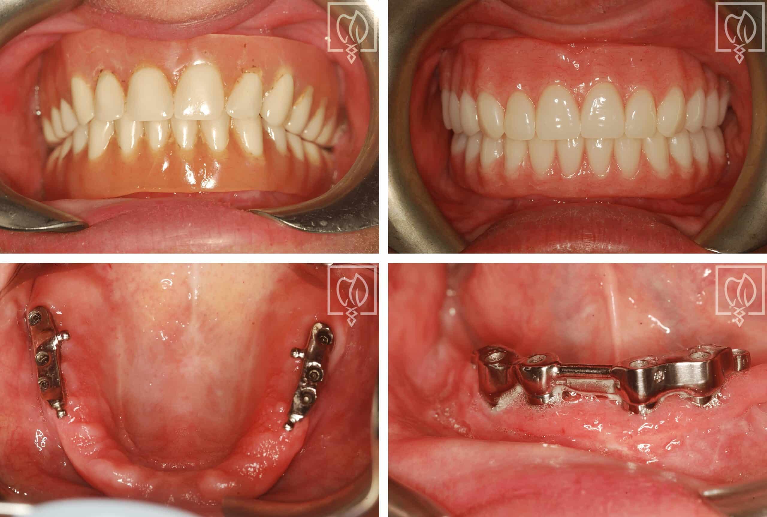
Ms. MC had a natural, radiant smile that was slowly diminishing as she became more and more uncomfortable with her presentation, especially at her Zoom meetings. Her upper and lower overdenture appliances seated on bars over her implants were beginning to crack, making her feel even more insecure about her appearance. The combination of wear and physical damage to her appliances significantly impacted her confidence in both personal and professional settings.
Treatment Approach
After a lengthy discussion with Dr. Marlin, we agreed that we would make new appliances to fit over her implant bars and rework her existing appliances so that they could serve as backup devices. This approach ensured that Ms. MC would never be without her ability to meet the public if anything happened to her new ones, providing both functional reliability and peace of mind.
Creating overdenture appliances to fit over existing overdenture bars seated on dental implants is an even more difficult procedure than originally creating the devices. The impressions are challenging to take and the bite registrations must be extremely precise in order to make her look younger and restore her natural appearance. This intricate work requires close coordination between a skilled prosthodontist and a highly trained dental technician who work together to achieve the ideal result.
The treatment involved careful assessment of the existing implant positions, precise custom impressioning techniques, and meticulous bite registration to ensure the new overdentures would provide both optimal function and aesthetics. Our in-house laboratory team worked directly with Dr. Marlin to hand-craft the new appliances with the exact specifications needed for a perfect fit.
Results
The new overdentures were custom-designed to leverage the existing implant bars while providing enhanced stability and a more natural appearance. The precision crafting allowed for improved chewing function and comfort compared to her previously worn appliances. The backup set of reworked appliances provided Ms. MC with additional security and flexibility in her daily life.


Why Choose a Prosthodontist
Prosthodontists like Dr. Marlin have specialized training and years of experience in complex cases involving implant-supported prosthetics. This expertise ensures that implant overdentures are designed not just to fit, but to restore function and aesthetics in a way that significantly improves quality of life.
Ms. MC is thrilled with her new radiant smile and sense of security. She can now smile confidently in her professional Zoom meetings and personal interactions, knowing her appliances are reliable, comfortable, and beautifully crafted to last for years to come.
Related Services
Related Patient Success Stories
Explore similar patient success stories demonstrating our expertise in advanced prosthetic dentistry.
Temporary Crowns Restore Patient's Smile in Just One Day with an Immediate Smile Makeover
A patient from Potomac, Maryland, came to Elite Prosthetic Dentistry with the chief complaint of pain from a failing dental implant and its significant impact on her appearance.
Multi-Faceted Treatment for Patient Unhappy With Her Artificial-Looking Crowns, Teeth and Gums
Many patients come to Elite Prosthetic Dentistry unhappy with the appearance of their smile. However, this particular patient presented with multiple interconnected problems that together created a smile she found deeply unsatisfying.
Treating Kevin’s Collapsed Bite with a Complete Smile Makeover with New Dentures
Dentures are sometimes not created to the ideal aesthetic and functional scheme. When improperly fabricated, dentures can make an individual appear almost a generation older than their actual age. They can have a poor fit that feels loose and unstable when eating or speaking, and they can actually accelerate bone loss over time.